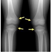
뼈에서 길이가 자라는 부분을 성장판이라고 하는데요. 요즘 부모님들 관심사 중 하나입니다. 우리 아이가 나보다 더 컸으면 하는 맘인데 성장판이 닫혔다고 하면 눈앞이 깜깜해집니다. 하지만 방법이 있습니다.



키 작은 사람들은 패배자 취급을 한다. 사회적 분위기 때문에 때때로 그 아이는 몸을 움츠린다. 때때로 당신은 당신의 관계에 대한 자신감을 잃는다. 난 문제가 있어. 또한 요즘은 외모가 중요한 경쟁우위이다. 왜냐하면 고려되기 때문이다. 키는 종종 다양한 면접과 취업에서 중요한 요소로 작용한다. 그래서 만약 아이의 키가 걱정된다면 당신은 지금부터 주의를 기울일 필요가 있습니다. ^^
하지만, 만약 당신에게 중고등학생이 있다면, 성장판이 이미 닫혀 있어서 무용지물이라고 생각할 수도 있다. 질문 드립니다! 성장판이 닫혀도 키가 클 수 있나요? 우선, 그렇습니다. ^.^ 그것은 또한 대부분의 사람들이 오해하는 것이다. 주위를 둘러보면 군대에서 3~4cm 성장했다. 그런 말을 하시는 분들도 계실 거예요. 남자뿐만 아니라 여자도 20대 초반까지. 여러분은 아마 사람들이 키가 커지는 것을 봤을 거예요. ^.^


성장판이 닫혀도 키가 커지는 이유는 다음과 같다. :) 어린 시절의 성장판은 스폰지처럼 부드럽다. 하지만 성장판이 거의 끝날 때쯤이면 뼈처럼 단단해지고 있어요. ^^ 이 과정을 통해서, 심지어 단단한 뼈들도 발견될 수 있다. 그것은 조금씩 자라고 있다. 그래서 성장판이 이미 닫혀 있다 하더라도 아이들과 부모님들 모두 관심을 가질 필요가 있다. ^^ 성장판이 닫힌 후에도 키가 크려면 평소 생활습관에 노력을 좀 해야 해요. :)
그렇다면, 우리는 어떤 노력을 해야 할까요? 몇 가지 사항을 간단히 살펴보겠습니다. ^.^ 성장하는 것은 하나의 생활방식이다. 먼저, 키가 크는데 도움이 되는 운동을 살펴봅시다. 농구와 수영은 성장을 위한 대표적인 스포츠이다. 성장판을 자극하는 스트레칭과 줄넘기 키가 크는데 아주 효과적이라고 할 수 있습니다. 물론 성장판이 완전히 닫히기 전이라면 훨씬 더 효과적일 거예요.


성장하는 것은 생활방식 2 다음으로 키가 크는데 도움이 되는 음식입니다. 한번 알아 봐야겠어요. 성장하기 위해서는 모든 영양소를 섭취해야 한다. 물론이지, 하지만 특히 필요한 건 약 4가지 필수 영양소가 있습니다. 단백질, 비타민, 칼슘, 식이섬유! 위의 네 가지 필수 영양소를 함유한 식품으로서, 두유, 토마토, 우유, 멸치, 콩, 두부, 생선 등이 있다. 하지만 가장 중요한 건 하루 세끼에 편식하지 마세요!
성장하는 것은 라이프스타일 3이다. 마지막으로, 우리가 자라지 못하게 하는 음식을 살펴봅시다. 오늘날 식단의 서구화는 감자튀김, 햄버거, 피자, 콜라, 빵을 포함한다. 인스턴트 식품 그것은 아동 비만과 다양한 합병증을 유발한다. 게다가 아침을 거르는 것과 같은 불규칙한 식습관도 있다. 그것은 여러분의 키 성장을 방해하는 큰 요인이 될 수 있습니다.


그러므로 자녀의 건강한 성장을 위해 인스턴트 식품 및 청량음료 최대한 피하는 게 좋을 것 같아요. 정말 오랜만이다 나는 몇 가지 간단한 생활 방식을 조사했다.
'일상정보' 카테고리의 다른 글
| 치질수술후 회복기간 주의사항 (0) | 2022.05.20 |
|---|---|
| 설사에 좋은 음식 (0) | 2022.05.20 |
| 검버섯 없애는 방법 (0) | 2022.05.19 |
| 다리가 붓는 이유 (0) | 2022.05.19 |
| 발등이 아픈 이유 (0) | 2022.05.19 |